唠“科”话丨“老掉牙”的问题,不是“老了才掉牙”的问题
新华社北京9月24日电(记者李佳巍)“我才33岁,牙齿为何已经开始脱落?”“年纪轻轻,部分牙齿已经松动了,怎么办?”“不到30岁牙齿就脱落正常吗……”打开社交媒体平台检索,不少“90后”已经在开始咨询“掉牙”问题。

北京市一商家展示自己使用了小米作为原料之一制作的新品小米布丁。新华社记者鞠焕宗摄
北京大学口腔医院牙周科主任医师释栋说,年轻群体缺牙问题的发生,一方面是因为龋齿导致牙齿拔除,另一方面因为牙周疾病导致牙齿脱落。其中牙周疾病是影响青年群体牙齿大面积集中脱落的关键,破坏性大且不可逆。如侵袭性牙周炎,就常发生在35岁以下的年轻人中,进展速度快,往往导致患者很年轻就有牙齿脱落。
牙周疾病是口腔疾病中的高发疾病,却容易被忽视。释栋说,成年人群中很多都是牙周病患者,只是程度不同而已。

在北京大学口腔医院,医生在为患者进行口腔治疗。新华社发
牙周疾病为何“破坏力”如此强劲?专家介绍说,早期的牙周病症状并不明显,被称之为牙龈炎,不疼不痒,仅仅表现为不同程度的牙龈的红肿,偶尔会有牙龈出血等症状,很容易被患者忽视。
如果没有得到及时有效的治疗,牙龈炎会慢慢发展成为牙周炎,此时支撑牙齿稳定的牙槽骨就开始出现吸收破坏。如果仍然没有引起足够的重视,骨吸收逐渐加重,各种其他症状也会随之出现,比如牙龈肿痛、牙龈退缩、牙齿敏感、咀嚼无力、牙齿松动、移位,甚至脱落。
“‘牙不疼’”不意味着口腔就健康。这个观念需要我们转变。”释栋说,牙周疾病是造成“老掉牙”的关键,年轻时如果确诊了牙周疾病,即便现阶段没有牙齿脱落,也极有可能随着年龄增长以及病程进展,牙齿逐渐松动脱落。“所谓‘老掉牙’,其实是口腔问题日积月累的结果。不重视口腔健康问题,早晚要为之买单。”

在第35届青岛国际啤酒节崂山会场,游客享受啤酒节夏夜狂欢。新华社发(王海滨摄)
除了牙周问题,青年群体饮食习惯近年来的变化也是导致“缺牙”的重要原因。酸性食物和饮料的大量摄入,会导致口腔中pH值(酸碱度)降低,牙釉质脱矿的临界pH值为5.5,如唾液pH值降低至5.5以下,将对牙齿造成直接腐蚀、破坏,进而引发牙酸蚀症和龋病。
“因此,日常生活中要降低碳酸饮料和含糖饮料的饮用频率,避免口腔环境pH值长时间低于5.5的阈值,防止牙酸蚀症和龋病发生造成牙齿缺损。”释栋说。
牙周疾病可能会造成牙齿“多颗”脱落,龋齿问题可能会造成牙齿“逐一”拔除,如何防止这些口腔问题发生,“不掉牙”?究其根源,还是要日常做好口腔健康维护。

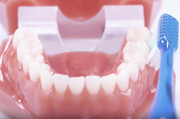
“有效刷牙”要清洁到牙缝、牙龈。新华社发
第一,做好日常的口腔清洁,做到“有效刷牙”。首先刷牙一定要清洁到牙缝、牙龈,切不可担心牙龈出血而在刷牙时有意避开;其次刷牙要“面面俱到”,每颗牙的里里外外都要刷到,都是自己的牙,不能厚此薄彼;第三,保障足够的刷牙时间和次数,每天2次,每次3分钟左右。
第二,早诊断早治疗。不能忽视了疾病的早期治疗期,越是疾病早期,治疗越简单、疗效越肯定且治疗费用低。
第三,养成定期检查,定期维护口腔健康的习惯和意识。口腔清洁就像家里打扫卫生,不可能一劳永逸,须久久为功。
释栋说,不健康的饮食习惯和牙菌斑残留是导致龋病和牙周病发生的最重要因素。日常要注意科学膳食、限糖减酸。建议每半年定期到专业医疗机构进行口腔检查。
